Ultra Sonography

Ultrasonography – Accurate Imaging for Better Diagnosis & Fertility Care

Advanced ultrasonography services play a vital role in diagnosing gynecological conditions and planning fertility treatments with precision.

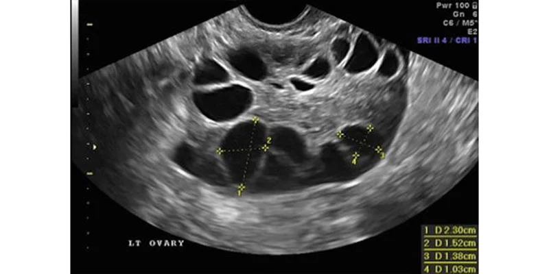
1. Follicular Study

A follicular study is a specialized ultrasound used to monitor ovulation during natural cycles or fertility treatments.

It helps to:
  • Track follicle growth in the ovaries
  • Identify the best time for ovulation
  • Plan IUI or IVF cycles accurately
  • Evaluate response to fertility medications
Benefits:
  • Improves chances of conception
  • Ensures timely treatment decisions
  • Safe, painless, and non-invasive

2. Color Doppler Ultrasound

Color Doppler ultrasound evaluates blood flow to reproductive organs, helping in detailed fertility and pregnancy assessment.

It is useful for:
  • Assessing uterine and ovarian blood flow
  • Evaluating endometrial receptivity
  • Detecting fibroids, cysts, and vascular abnormalities
  • Monitoring high-risk pregnancies

Our Location

Check the Map Below for Directions

Reach Us Quickly with the Help of Our Map

call